BLOG
歯と歯の接触を改善したい
2026.02.11
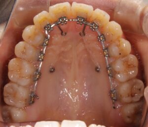
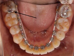
歯は順調に並んできましたが、右下の奥歯の接触がゆるく、デンタルフロスを通すとスカスカになっています。
新しいゴムに替えてもう少し動くのを待ちます。
ワイヤーもゴムの数も変わっていませんが、矯正直後は頬を噛んだり痛みが出るので
歯が動いているのを実感します。
並べることはほぼ終わっているので、矯正装置を外せる日も近いかもしれません。


BLOG
2026.02.11
歯は順調に並んできましたが、右下の奥歯の接触がゆるく、デンタルフロスを通すとスカスカになっています。
新しいゴムに替えてもう少し動くのを待ちます。
ワイヤーもゴムの数も変わっていませんが、矯正直後は頬を噛んだり痛みが出るので
歯が動いているのを実感します。
並べることはほぼ終わっているので、矯正装置を外せる日も近いかもしれません。

