増田歯科医院 | 栄駅近く | 名古屋市東区の歯医者 増田歯科医院 | 栄駅近く | 名古屋市東区の歯医者 増田歯科医院 | 栄駅近く | 名古屋市東区の歯医者

ご予約・お問い合わせ

052-931-4159
*

BLOG

無料メール相談

終盤

2025.12.17

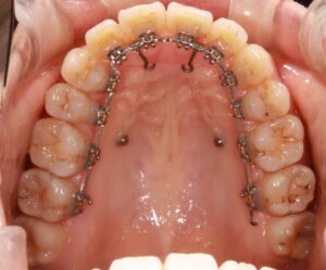
上の歯を奥に引いてきて、上下とも順調に並んできました。

けれど歯と歯の接触具合が緩いところがまだあります。

終盤に差し掛かってきたので、しっかり歯が動くよう、頑張っていきます。

 

トップへ戻る
052-931-4159