BLOG
新しい装置がつきました
2025.11.22
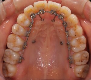
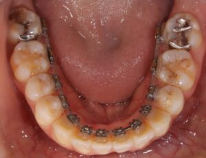
上下とも抜いた歯のスペースが埋まってきたので、新しい装置をつけました。
上の矯正装置にフックとゴムを掛けて、奥に引いていくようにしていきます。
久しぶりに歯を動かす痛みがありました。
前歯で噛めるようにしていくのが次の目標です。

BLOG
2025.11.22
上下とも抜いた歯のスペースが埋まってきたので、新しい装置をつけました。
上の矯正装置にフックとゴムを掛けて、奥に引いていくようにしていきます。
久しぶりに歯を動かす痛みがありました。
前歯で噛めるようにしていくのが次の目標です。
