増田歯科医院 | 栄駅近く | 名古屋市東区の歯医者 * *

ご予約・お問い合わせ

052-931-4159
*

BLOG

無料メール相談

隙間が埋まってきました

2025.10.29

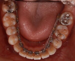
今回も上の歯に変化はありません。

しかし、下の抜歯をしたスペースが順調に埋まってきました。

奥に引っ張られた分、前歯の隙間が少し開いてきたので、次はここも埋まるようにしていきます。

 

*
*