BLOG
歯がかなり動いてきました
2025.09.17
前回隙間を埋めるために左下にゴムをかけましたが、この1ヶ月の間にかなり動いてきました。
この処置で久しぶりに歯が動く痛みを感じました。
ゴムかけの部分が増えた分だけ、食べ物が挟まりやすかったり歯磨きが難しかったりしましたが、しっかり歯が動いてくれたので良かったです。
奥歯との隙間はまだあるので、ここが埋まるのを待っていきます。

BLOG
2025.09.17
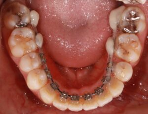
前回隙間を埋めるために左下にゴムをかけましたが、この1ヶ月の間にかなり動いてきました。
この処置で久しぶりに歯が動く痛みを感じました。
ゴムかけの部分が増えた分だけ、食べ物が挟まりやすかったり歯磨きが難しかったりしましたが、しっかり歯が動いてくれたので良かったです。
奥歯との隙間はまだあるので、ここが埋まるのを待っていきます。
